
Orto Face - Ortodonta Wrocław
Lokalizacja
Ladowanie mapy...
Budziszyńska 39, 54-434 Wrocław, Polska
O firmie
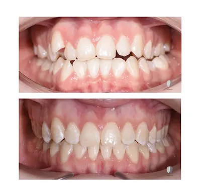
Orto Face to gabinet ortodontyczny zlokalizowany przy ul. Budziszyńskiej 39 we Wrocławiu (54-434), specjalizujący się w korekcie zgryzu i wad szczęki. Klinika cieszy się doskonałą opinią pacjentów – średnia ocena na Google wynosi 5.0/5 na podstawie 18 recenzji. Lekarze i personel kładą nacisk na indywidualne podejście, dokładne wyjaśnienia planu leczenia oraz kompleksową opiekę, co wyróżnia ich na tle wrocławskiego rynku ortodontycznego. Pacjenci chwalą przede wszystkim profesjonalizm dr Marty Bilińskiej-Koczwary, która z zaangażowaniem analizuje każdy przypadek, w tym ratując stałe zęby zamiast je usuwać. Wizyty przebiegają w luźnej, przyjaznej atmosferze – jak podkreśla wielu, nawet dzieci nie odczuwają stresu. Asystentka Agnieszka wspiera zespół, dbając o ciepły kontakt i testy uczuleniowe na materiały. Opinie z różnych dzielnic Wrocławia, a nawet z Jeleniej Góry czy zza granicy, podkreślają klarowność informacji, terminowość i efekty leczenia, takie jak piękny uśmiech po dwóch latach terapii. Orto Face to miejsce, gdzie fachowość łączy się z życzliwością, co potwierdza większość zadowolonych klientów. Jeśli szukasz ortodonty we Wrocławiu, warto rozważyć wizytę w tym gabinecie. (198 słów)
Co mowia klienci
“Opinie o gabinecie Ortoface są wyłącznie pozytywne (wszystkie 5/5), podkreślające najwyższy poziom profesjonalizmu i fachowej wiedzy. Pacjenci chwalą przyjazną atmosferę, dokładne wyjaśnienia leczenia oraz bezstresowe wizyty, nawet dla dzieci. Wielu dojeżdża z daleka, co świadczy o wysokiej satysfakcji z efektów.”
Mocne strony
- Wysoki profesjonalizm i fachowa wiedza
- Przyjazna, luźna atmosfera i miły personel
- Dokładne wyjaśnienia planu leczenia
- Indywidualne podejście i zaangażowanie
- Skuteczne wyniki, nawet w trudnych przypadkach
Do poprawy
- Brak zgłoszonych słabych stron
Idealne dla
Idealny dla rodzin z dziećmi, pacjentów z zaawansowanymi problemami ortodontycznymi oraz osób ceniących transparentność i przyjazną atmosferę.
Kategorie
Podobne firmy w okolicy
Inne firmy w okolicy

Akademia Matematyki Infinity Wrocław

OneDayClinic

Solarium GOLD SUN

Archon® Dom Pogrzebowy - Wrocław Nowy Dwór

Darcraft s.c.
Tomasz Wrocławski, Psycholog, Suicydolog, Terapeuta Par i Rodzin

Auto24

Złoty Smok Wrocław

ENGLISHUP.pl - Szkolenia językowe

ComputerSoft Sp. z o.o. - Agencja E-commerce / Interaktywna Wrocław | Strony i Sklepy Internetowe (PrestaShop, Wordpress)

ŁAPciuch Markowa Odzież Używana Wrocław Strzegomska 206
Detektywistyczne Biuro Śledcze sp. z o.o.
POGADAMY logopeda Justyna Surdyga-Mikuła
Lekarze Na Szwedzkiej

Zakład Tapicerski "Wehikuł"

DoktorPC Serwis Komputerowy Serwis Laptopów

Auto Serwis Wrocław

As-Tap Tapicer Wrocław
Auto Komis RS CARS
STÓŁ na Szwedzkiej - studio kulinarne




